「くしゃみ」を我慢した男性の身に起こった悲劇


誰にでも不意に訪れる「くしゃみ」。一度すると止まらなくなったり、シチュエーションによっては悪目立ちしてしまったりするだけに、くしゃみが出そうになって止めようとしたことがある人もいるのでは? そんなくしゃみを我慢したことで、ある男性の身に起こった悲劇が恐ろしすぎる…。
医師がくしゃみの我慢に黄色信号
イギリス在住の34歳の男性が、くしゃみを我慢したことで大変なことが起こってしまった。なんと、くしゃみを我慢したことが原因で「喉」が破裂してしまったのだ。

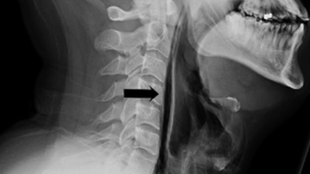
くしゃみを我慢した直後に、声の異変や飲み込みに不自由を感じるようになった男性は病院へ。そこで医者から「喉が破裂している」ことを知らされたという。男性いわく、くしゃみを感じた瞬間首に一瞬の衝撃が走ったそう。どうやらそれは、喉が破裂したことが原因だったようだ。こちらがそのレントゲン写真。

©BMJ Reports
英BBCによると、破裂した部分が完治するまでかかる期間は約1週間は必要だそうで、その期間中は、男性はチューブを通さないと食事をとることができないという。完治まで1週間と聞くと軽症に聞こえるが、生命活動に欠かせない「食」に関係する喉だけに、やはり代償は大きいよう。
誰でもやりがちなくしゃみを我慢する行為だけれど、じつは医師によるとくしゃみを我慢するのは非常に危険な行為で、場合によっては耳や脳にダメージをきたすこともあるという。
周囲の視線を気にしてくしゃみを我慢してしまう人も多いと思うが、くしゃみは身体が求める摂理。くれぐれも我慢のしすぎにはご注意を。(フロントロウ編集部)












